
If ongoing neck or low back pain has started to dictate how you move, sit, stand, or sleep, a focused decompression evaluation can help clarify whether this approach is appropriate for you.
Spinal issues don’t just cause pain—they quietly shape daily decisions. How you get out of bed. How long you sit. What movements you avoid. For some patients, spinal decompression may be a reasonable non-surgical option, but the first step is determining whether it’s appropriate for your specific condition.
$67 Decompression Evaluation
Clinical exam
Imaging review (if available)
Determination of candidacy
No treatment required that day
Have ongoing neck or low back pain that hasn’t resolved
Have been told they have disc degeneration, bulges, herniations, or arthritis
Struggle with sitting, standing, bending, or sleeping
Want to avoid injections or surgery if possible
Have already “tried chiropractic” but not decompression-based care
This is not for acute strains, recent car accidents, or people looking for a one-time adjustment.




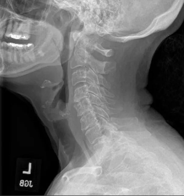
Degenerative disc disease, loss of disc height, disc bulges/herniations, and nerve compression are common findings in patients who may benefit from decompression-based care.
Spinal decompression is a controlled, motorized form of traction designed to reduce pressure inside damaged spinal discs. By creating cycles of gentle distraction and relaxation, decompression can help improve disc hydration and reduce mechanical stress on irritated nerves.
It is not massage.
It is not stretches or exercises.
And it is not appropriate for everyone—which is why an evaluation comes first.
Review of your history and current symptoms
Physical examination focused on disc and nerve involvement
Review of prior imaging (MRI/X-ray) if available
Determination of whether decompression is appropriate
Clear explanation of next steps (if any)



How long is the evaluation?
Please plan on 30-45 minutes for your initial visit.
Do I need an MRI?
No. Bring prior imaging if you have it, but it is not required for the evaluation.
Is $67 applied to care?
No. The $67 covers the evaluation only. Any recommended care is discussed afterward, with no obligation to proceed.